(马六甲xx日讯) – 持续咳嗽看似普通感冒,但若超过两周仍未好转,可能是结核病(TB)的早期警讯。专科医生提醒,民众若忽视相关症状,可能延误诊断与治疗,同时增加疾病在社区传播的风险。
马六甲东方医院内科及呼吸系统科罗善明医生指出,结核病虽然不像流感或新冠肺炎 (COVID-19) 那样容易传播,但若长时间在拥挤或通风不良的室内空间与患者近距离接触,仍可能在社区中悄然扩散。

Dr Lo Shan Min 罗善明医生, 内科及呼吸系统专科
他说,结核病主要通过空气传播。当患者咳嗽、说话或打喷嚏时,含有结核菌的微小飞沫会释放到空气中,但通常需要在室内环境中长时间接触,才较容易感染。
“很多人以为只是普通咳嗽而延迟求医,其实辨识这种差别非常重要,有助于防止疾病进一步传播。”
随着我国持续每周通报结核病病例,相关情况引起关注。马来西亚卫生部数据显示,截至2026年第6个流行病学周,全国新增596宗结核病病例,今年累计病例达3161宗,其中沙巴、雪兰莪及砂拉越的病例最多。
根据世界卫生组织(WHO)资料,马来西亚2023年每10万人约有122宗结核病病例,近年来每年病例超过2万6000宗,显示结核病仍是我国重要的公共卫生挑战。
罗医生表示,肺结核最常见且最早出现的症状之一,就是持续超过两周的咳嗽。其他症状包括夜间盗汗、低烧、疲倦、体重不明原因下降,严重时甚至可能咳出带血痰或出现胸痛。
他说,结核病症状通常发展缓慢,因此不少患者误以为只是普通感冒而延误治疗。但及早检测与诊断,不仅有助提高治疗成功率,也能减少传染给他人的风险。
虽然结核病的传染性不如许多病毒性呼吸道疾病,但若在密闭且人群密集的室内环境中长时间接触,感染风险仍会增加。家庭成员、工作场所、宿舍、监狱以及人多拥挤的社区活动,都可能成为传播环境。
根据美国疾病管制与预防中心(CDC)指出,结核菌可通过空气中的微粒传播,在通风不良的环境中停留时间较长,因此长时间暴露是主要风险因素之一。

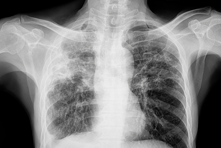
胸部X光显示肺结核(TB)以上肺叶为主的病变,可累及左肺、右肺或双肺。
对于近期每周通报病例的情况,罗医生指出,这也与筛检与检测能力提升有关。随着接触者追踪、快速分子检测及更广泛的筛检计划实施,医疗人员能够更早发现感染病例。
“更好的检测其实是正面的发展,它能让患者更早接受治疗,同时减少传播时间窗口。”
不过,他也指出,城市人口密集、人口流动增加、人口老龄化,以及糖尿病等慢性疾病的增加,都可能影响结核病的传播趋势。
尽管如此,只要及早诊断,结核病是可以有效治疗的。WHO数据显示,若患者遵循标准6个月疗程,药物敏感型结核病的治疗成功率可达85%至90%。
罗医生强调,提高公众意识、及早检测及负责任的健康行为,是控制结核病的重要关键。例如出现持续症状应尽早求医、咳嗽时遮掩口鼻,以及为密切接触者进行筛检,都有助减少疾病传播。
他提醒,随着我国每周仍有新病例通报,一些看似普通、久咳不愈的症状,可能正是社区中结核病悄然传播的早期警讯。











